マウスピース矯正のデメリットを知らずに失敗(出っ歯・口ゴボになった)した方へ|福岡・天神でやり直し矯正をご検討の方に
2025.03.15
「マウスピース矯正をしたけれど、思ったように歯が動かない…」
「途中で装置を使わなくなってしまい、治療を中断した…」
このようなお悩みを抱えて来院される患者様が、近年とても増えています。
手軽で目立ちにくいことから人気のマウスピース矯正ですが、誰にでも確実に良い結果が出るとは限りません。
今回は、マウスピース矯正がうまくいかなかったケースと、その後のやり直し矯正の選択肢について、当院の考えをお伝えします。
マウスピース矯正でよくあるお悩み
-
思ったほど歯が動かない
-
噛み合わせが合わず、違和感が残る
-
治療が長引いてしまい、中断してしまった
-
仕上がりに満足できない(出っ歯・口ゴボになってしまう)
マウスピース矯正は、軽度の歯並び改善には有効ですが、複雑な症例や噛み合わせの調整が必要なケースでは不向きな場合があります。
当院がマウスピース矯正を行っていない理由
渡辺通さとう歯科・矯正歯科では、基本的にマウスピース矯正は行っていません。
その理由は、確実な結果を出すために必要な精度が不十分な場合が多いからです。
矯正治療は「見た目を整えること」だけでなく、噛み合わせの安定がとても大切です。
確実性を重視するため、当院では以下の治療法を中心に行っています。
ワイヤー矯正・裏側矯正のメリット
-
歯の動きを歯科医師が細かくコントロールできる
-
噛み合わせまでしっかり調整できる
-
**裏側矯正(リンガル矯正)**なら、装置が目立たずに治療可能
このため、**マウスピース矯正で失敗した方の再治療(やり直し矯正)**として選ばれることが多いのです。
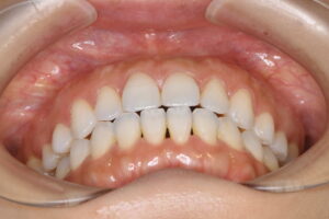
実際の症例
-
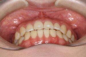
20代女性:マウスピース矯正で前歯は並んだが出っ歯・口ゴボになってしまい、噛み合わせに不安を感じ顎関節症に悩まされる → 裏側矯正で再治療し、安定した噛み合わせに改善。

他院でマウスピース矯正を受けたが前歯が全く噛めない

裏側ワイヤー矯正でやり直して咬み合わせも安定
-
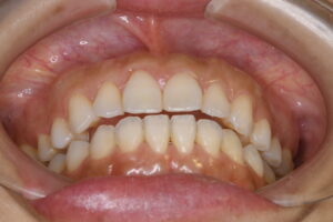
40代女性:中断後に再治療を希望 → ワイヤー矯正でしっかり仕上げ直し、自然な歯並びと噛み合わせを実現。

前歯が全く噛めずに不安定な咬み合わせ

裏側ワイヤー矯正でやり直して咬み合わせが安定し顎関節症も改善
💬 患者さんの声
「最初はマウスピース矯正をしていたのですが、途中で思ったように歯が動かなくなり、不安になっていました。こちらの医院で裏側矯正に切り替えていただき、今は噛み合わせも安定して本当に安心しています。」(20代女性・会社員)
「他院でマウスピース矯正を始めましたが、結局続かず…。やり直しは大変かと思いましたが、先生が丁寧に説明してくださり、今はワイヤー矯正で順調に進んでいます。」(40代女性・医療従事者)
❓よくあるご質問(Q&A)
Q. マウスピース矯正に失敗しても、やり直しはできますか?
A. はい、可能です。症例にもよりますが、多くのケースでワイヤー矯正や裏側矯正に切り替えることで改善できます。
Q. やり直し矯正はどのくらい時間がかかりますか?
A. 初回の状態や治療の進み具合によって異なりますが、1年〜2年程度かかることが多いです。カウンセリングで具体的にご説明します。
Q. 裏側矯正は目立たないですか?
A. はい。装置が歯の裏側に付くため、正面からはほとんど見えません。お仕事で人と話す機会が多い方にも選ばれています。
Q. 費用はどのくらいですか?
A. 症例により異なりますが、初回のカウンセリングで治療計画とともに明確なお見積りをお出しします。無理のない分割払いにも対応しています。
まとめ:やり直し矯正は可能です
マウスピース矯正で理想の結果が得られなかったとしても、治療をやり直すチャンスはまだあります。
当院では豊富な症例と経験をもとに、患者様に最適な治療方法をご提案しています。
📍 福岡市・天神で「マウスピース矯正のやり直し」をお考えの方へ
渡辺通さとう歯科・矯正歯科では、確実性を重視した矯正治療を行っています。

福岡天神|渡辺通さとう歯科・矯正歯科|院長 佐藤桂一
初診検査・カウンセリングのご予約
毎月の日曜枠は限定数です。ご希望の方はお早めにお申し込みください。
※完全予約制/詳細は受付へ。
アクセス
📍 渡辺通さとう歯科・矯正歯科
住所:福岡市中央区渡辺通4丁目9-18福酒ビル3階
🚇 地下鉄七隈線「天神南駅」徒歩1分
🚉 西鉄大牟田線「福岡(天神)駅」徒歩1分
電話:092-791-4439
対応エリア:福岡・天神・渡辺通/日曜診療・完全予約制/保険の一般治療・精密自費治療・セラミック・ワイヤー矯正・短期集中治療



