
症例紹介
Cases

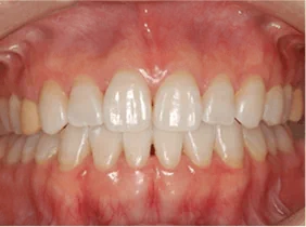
症例紹介1:エステティックライン

エステティックラインとは、横から見た時に鼻と顎を結んだ口元のラインのことです。
「美しい口元の基準」とも呼ばれ、矯正治療の基準になります。このケースでは、出歯により気になるエステティックラインを、約1年半ほどの矯正期間で改善し、美しいラインを実現しました。見た目の美しさはもちろん、矯正によって口が閉じやすくなったことで、鼻呼吸がしやすくなり、歯周病の予防にもつながります。

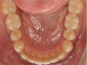
症例紹介2:歯根の矯正

本質的な矯正は、歯茎の上に見えている部分の歯並びだけでなく、歯茎の下の歯根がキレイに並んでこそ実現します。
このケースでは、並行に並んでいなかった歯根からしっかりと矯正を行い、1年弱の矯正期間で、歯根まで並行にならぶキレイな歯並びとなりました。
歯根がきれいに並んでいることで、歯周病のリスクを抑え、長持ちする歯へと改善されました。

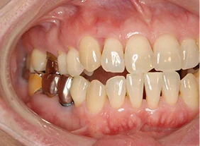
症例紹介3:オールセラミックス

日本では虫歯治療に一般的に使われている銀歯ですが、銀歯には様々なデメリットがあります。
当院では銀歯を用いない「メタルフリー」の治療をお勧めしています。
(詳しくは「長持ちする審美歯科」をご覧ください)
このケースでは、過去の虫歯治療で入っていた銀歯をセラミックスに入れ替えることで、自然な美しさとなりました。
生体親和性が高いため、金属アレルギーなどの心配がなく、長年安心して使っていただけます。

症例紹介4:ホワイトニング

当院のホワイトニングでは、患者様の歯や歯茎の状態に合わせて、数種類の薬剤の中から最適なものを選んで使用しているため、歯にしみない治療を行えます。
このケースでは、プロフェッショナルクリーニングからホワイトニングを行った結果、白く輝く美しい歯になっていることがお分かりいただけるはずです。
(写真の明るさや色を加工していないので歯茎の色は同じまま、歯だけが白くなっています。)

症例紹介5:矯正治療とインプラント治療を併用したかみ合わせの治療

歯並びとかみ合わせが良くないと、一部の歯に負担が集中してしまいます。
上下の前歯がしっかり噛み合っていない場合、奥歯の銀歯が何度も外れたり、歯の根が割れて抜歯になってしまうこともあります。
奥歯を長持ちさせるためには、前歯の機能的なかみ合わせが必要です。