歯並びとかみ合わせが良くないと、一部の歯に負担が集中してしまいます。
上下の前歯がしっかり噛み合っていない場合、奥歯の銀歯が何度も外れたり、歯の根が割れて抜歯になってしまうこともあります。
奥歯を長持ちさせるためには、前歯の機能的なかみ合わせが必要です。
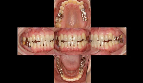
以前より右下の銀歯が度々悪くなり、今回右下の歯ぐきが大きく腫れてしまった患者様です。
他の歯科医院で入れ歯を勧められたそうですが、セカンドオピニオンを求めて来院され、ご相談を受けました。
注目する点は、前歯がしっかり噛み合っていないことです。
患者様も食べ物をしっかり噛めないと感じていました。
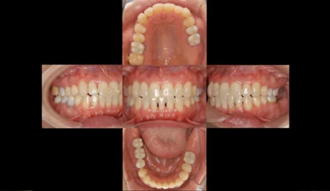
まず、歯の根が割れてしまい保存不可能な奥歯を抜歯します。歯が悪くなるには必ず原因(かみ合わせ)があります。
新しく入れる奥歯に過度な負担がかからないようにするために、前歯のかみ合わせを裏側からの見えない矯正で治療します。
歯ならびとかみ合わせを整えたら、CTスキャンで設計したインプラントを、正確な位置に埋入します。
かみ合わせが悪いままインプラントを入れても、また以前と同じように問題が再発してしまいます。
最後にセラミックスを被せて終了です。
しっかり噛めて、歯が長持ちする環境が整いました。
今後は定期的にメンテナンスを行っていきます。







