メイン画像

トップページ > 矯正治療 症例集 > 症例4 ホワイトニング

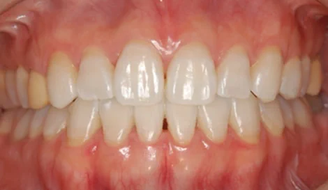
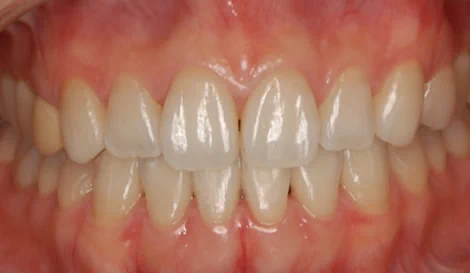
症例4 ホワイトニング

当院のホワイトニングでは、患者様の歯や歯茎の状態に合わせて、
数種類の薬剤の中から最適なものを選んで使用しているため、歯にしみない治療を行えます。
このケースでは、プロフェッショナルクリーニングからホワイトニングを行った結果、
白く輝く美しい歯になっていることがお分かりいただけるはずです。

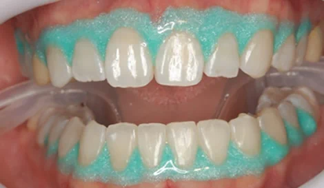
ホワイトニング剤を塗る前に、プロフェッショナルクリーニングを行います。これを行わないとホワイトニングの効果は期待できません。

デリケートな歯茎を保護します。

患者様の歯茎の状態に合わせたホワイトニング剤を使用し、歯がしみないホワイトニングを行います

自然で真っ白な歯になりました。(写真を加工していないので歯茎の色が同じです。)

治療前、治療後の比較写真です。

診察予約
Copyright ©sato do.dental esthetics. 2014 All Rights Reserved.