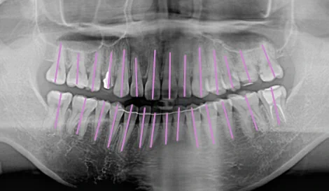
本質的な矯正は、歯茎の上に見えている部分の歯並びだけでなく、
歯茎の下の歯根がキレイに並んでこそ実現します。
このケースでは、並行に並んでいなかった歯根からしっかりと矯正を行い、
1年弱の矯正期間で、歯根まで並行にならぶキレイな歯並びとなりました。
歯根がきれいに並んでいることで、歯周病のリスクを抑え、長持ちする歯へと改善されました。



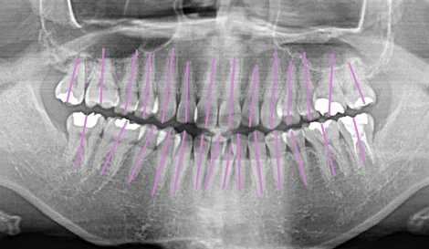
本質的な矯正は、歯茎の上に見えている部分の歯並びだけでなく、
歯茎の下の歯根がキレイに並んでこそ実現します。
このケースでは、並行に並んでいなかった歯根からしっかりと矯正を行い、
1年弱の矯正期間で、歯根まで並行にならぶキレイな歯並びとなりました。
歯根がきれいに並んでいることで、歯周病のリスクを抑え、長持ちする歯へと改善されました。