5年以内の前歯セラミックでも“適合不良”でトラブルに。精密治療でやり直した40代女性の症例|渡辺通さとう歯科・矯正歯科|福岡天神
2025.12.08
前歯のセラミックは、「見た目」だけではなく 適合精度と根の健康 が非常に重要です。
一見綺麗に見えるセラミックでも、精度が低いと 歯ぐきの腫れ・出血・痛み・根の病変 が起こり、早期にやり直しが必要となるケースも珍しくありません。
今回は、5年以内に装着された前歯セラミックを、マイクロエンドを含めてやり直した40代女性の症例をご紹介します。
ご相談内容|前歯の歯ぐきが腫れて痛む状態に
患者様は以下の症状で来院されました。
・前歯の歯ぐきが腫れやすい
・ブラッシングで出血する
・噛むとジーンと痛む
・見た目も不自然に感じる
セラミック自体は比較的新しいものでしたが、適合が悪く、歯ぐきに強い炎症が起きている状態でした。
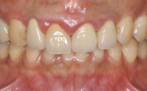
治療前の状態(Before)

前歯セラミック 適合不良による歯ぐきの腫れ :正面写真

前歯セラミック 適合不良による歯ぐきの腫れ :側方写真
治療前:5年以内のセラミックですが、適合不良のため歯ぐきに腫れ・出血が繰り返し起こり、痛みもある状態でした。
主な問題点
・セラミックの適合不良…境目の段差により細菌が侵入し、慢性炎症を引き起こしていた
・歯ぐきの破裂(腫脹)・出血…常に炎症が続く状態
・根管治療の不備…根尖病変が確認され、噛むと痛い原因に
・清掃性が悪い形態…プラークがたまりやすい構造
治療方針|マイクロスコープによる再根管治療+精密セラミックへ
今回の治療は、以下のステップで進めました。
① マイクロエンド(マイクロスコープによる再根管治療)
・古い根管材料を丁寧に除去
・根の先までしっかり洗浄・消毒
・根の内側からひび割れを修復
・再発を防ぐための精密な根管充填
肉眼では確認できない細部まで処置できるため、根尖病変の改善には必須の治療です。
② 仮歯で歯ぐきと形態を整える
・炎症が落ち着くまで仮歯で管理
・歯ぐきが自然に治るスペースを確保
・清掃性が良く、歯ぐきを圧迫しない形を調整
③ 適合精度の高いオールセラミックを装着
・段差ゼロを目指した精密形成
・歯ぐきと自然に馴染む形態
・透明感があり、顔の印象に合うデザイン
・長期的に安定する噛み合わせの調整
治療後の状態(After)

前歯セラミックやり直しマイクロエンド精密治療後:正面写真

前歯セラミックやり直しマイクロエンド精密治療後:側方写真
治療後:歯ぐきの腫れ・出血は完全に消失し、自然な透明感のあるセラミックへと改善しました。
改善されたポイント
・歯ぐきの赤み・腫れが消失
・根尖病変が改善し噛む違和感が消退
・セラミックと歯ぐきの境目が美しく自然
・清掃しやすい形態で再発リスクが低減
・見た目が自然で若々しい印象に
セラミックは“見た目が綺麗”なだけでは不十分
今回のように、5年以内のセラミックでもトラブルが起きる原因は、
・適合不良
・清掃性の低い形態
・不十分な根管治療
・噛み合わせの問題
といった、精度と総合診断不足にあります。
前歯は特に目立つ部分のため、
「審美性」「機能性」「歯ぐきの健康」が揃って初めて、良い治療と言えます。
福岡市で前歯セラミックのやり直しをご検討の方へ
当院では、
・マイクロスコープでの精密治療
・噛み合わせと根の状態まで含めた専門的診断
・長持ちする精密オールセラミック
・他院でのやり直し症例が多数
といった特徴があります。
前歯の腫れ・出血・不自然さが気になる方は、早めの検査をおすすめします。

福岡天神|渡辺通さとう歯科・矯正歯科|院長 佐藤桂一
アクセス
渡辺通さとう歯科・矯正歯科
〒810-0004 福岡市中央区渡辺通4-9-18 福酒ビル3F
電話:092-791-4439
初診検査・カウンセリングのご予約
毎月の日曜枠は限定数です。ご希望の方はお早めにお申し込みください。
※完全予約制/詳細は受付へ。
対応エリア:福岡・天神・渡辺通/日曜診療・完全予約制/保険の一般治療・精密自費治療・セラミック・ワイヤー矯正・短期集中治療



