【症例あり】前歯の八重歯と口ゴボを差し歯?矯正?シミュレーションと実際の治療結果|福岡市中央区・天神 渡辺通さとう歯科・矯正歯科
2025.06.02
差し歯で八重歯と口ゴボを治す場合の7つのリスク
⒈健康な歯を大きく削る必要がある
⒉神経を取る処置が必要になることがある
⒊噛み合わせの改善はできない
⒋将来的に歯の寿命を縮める可能性
⒌虫歯になるリスクが高い
⒍歯周病になるリスクが高い
⒎数年おきにセラミックを作り替える必要がある
【症例】30代女性 八重歯と口ゴボのご相談
患者さまは「前歯を差し歯で八重歯と口ゴボを治したい」と来院されました。まずはシミュレーションを行い、差し歯と矯正での仕上がりを比較しました。
差し歯シミュレーション

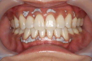
1:八重歯と口ゴボの治療で相談に来られた患者さまの治療前

2:実際の患者さまの模型

3:八重歯を差し歯で治した場合のシミュレーション模型

4:差し歯にする場合、歯の神経を取り大きく歯を削る必要があります

5:歯の長さも不自然なつながった差し歯
矯正シミュレーション

歯は削らずに矯正治療後の歯並びをシミュレーション
比較の結果、患者さまは矯正治療を選ばれました。
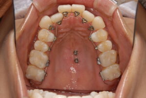
実際の治療5ステップ(ワイヤー矯正)

1:八重歯と口ゴボの治療で相談に来られた患者さまの治療前

2:確実に治す見えない裏側ワイヤー矯正で治療

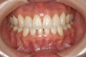
3:八重歯と口ゴボも治り自然な美しい歯並びに

4:更に黒い歯茎をピーリング中

5:歯茎もきれいなピンク色に

自然な美しい笑顔に
患者さまからも「前歯を差し歯にしなくて本当に良かった」との嬉しいお声をいただきました。
矯正治療の4つのメリット
⒈歯を削らずに治療できる
⒉噛み合わせが整い、虫歯・歯周病のリスクを減らせる
⒊自然で美しい口元を得られる
⒋将来的に歯の寿命を守れる
当院の矯正治療|福岡市中央区・天神・渡辺通
渡辺通さとう歯科・矯正歯科では、精密な検査とシミュレーションをもとに、最適な治療計画をご提案しています。
- マイクロスコープを活用した精密診断
- 八重歯や口ゴボなど難しい症例にも対応
- 西鉄福岡駅から徒歩1分で通いやすい立地

マイクロスコープによる精密治療
まとめ
八重歯や口ゴボを差し歯で治すのは簡単そうに見えますが、歯の寿命を縮めるリスクが高い治療法です。
矯正治療なら、歯を守りながら見た目と機能を同時に改善できます。
治療を始めたい方へ
まずは初診検査で現在の状態をしっかり評価します。歯周病が心配な方、矯正やセラミックに興味がある方はお気軽にご相談ください。
初診検査・カウンセリングのご予約
毎月の日曜枠は限定数です。ご希望の方はお早めにお申し込みください。
※完全予約制/詳細は受付へ。
対応エリア:福岡・天神・渡辺通/日曜診療・完全予約制/保険の一般治療・精密自費治療・セラミック・ワイヤー矯正・短期集中治療
アクセス
渡辺通さとう歯科・矯正歯科
〒810-0004 福岡市中央区渡辺通4丁目9-18 福酒ビル3階
電話:092-791-4439
