そんな治療後の後悔や不満を解決するのが、当院が行うリカバリー治療(再治療・やり直し治療)です。
治療後にこんなお悩みはありませんか?
・矯正治療をしたが後戻りしてしまった
・入れたセラミックが不自然で目立つ
・歯ぐきの黒ずみが気になる
・インプラント後に噛みにくい・腫れが続く
・抜歯やインプラントを勧められたが、自分の歯を残したい
トップページ > お知らせ・患者様の声 > 【福岡・天神】矯正やセラミック・インプラントのやり直し治療なら渡辺通さとう歯科・矯正歯科
2025.07.11
・矯正治療をしたが後戻りしてしまった
・入れたセラミックが不自然で目立つ
・歯ぐきの黒ずみが気になる
・インプラント後に噛みにくい・腫れが続く
・抜歯やインプラントを勧められたが、自分の歯を残したい

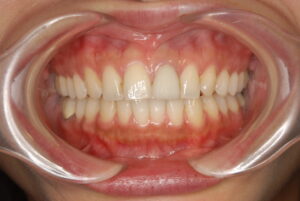
矯正治療やり直し前の写真:噛み合わせが悪く出っ歯が残る

矯正をやり直し前歯の噛み合わせも安定、出っ歯も改善
福岡市中央区・天神エリアの当院では、以下の再治療に対応しています。
・矯正治療の後戻り・仕上がり改善
・セラミック治療のやり直し(自然で美しい見た目へ)
・根管治療(再発防止の精密治療)
・インプラントのトラブル改善・再治療
・可能な限り「歯を残す」治療
最新のマイクロスコープを用いた精密治療と、自然な仕上がりにこだわる審美歯科治療を組み合わせ、患者さまの不満を解消します。

向かって右側の不自然なセラミック

自然な美しいセラミックに改善
歯科治療は医師の経験・技術の差が大きく影響します。
・セラミック:色や形の微調整不足
・矯正治療:保定管理不足による後戻り
・インプラント:噛み合わせや清掃性への配慮不足
再治療では原因を正しく診断し、根本から改善することが欠かせません。

一番奥の金歯はインプラントだが噛み合わせが悪く噛めない

噛み合わせを改善し、メタルフリーのセラミックへ
⒈院長がすべての治療を担当(説明~治療まで一貫対応)
⒉天神・渡辺通駅から徒歩すぐの便利な立地
⒊セカンドオピニオン歓迎(他院治療に納得できなかった方)
⒋見た目と機能の両立を重視

福岡天神|渡辺通さとう歯科・矯正歯科|院長 佐藤桂一
まずは初診検査で現在の状態をしっかり評価します。歯周病や虫歯が心配な方、矯正やセラミックに興味がある方はお気軽にご相談ください。
毎月の日曜枠は限定数です。ご希望の方はお早めにお申し込みください。
※完全予約制/詳細は受付へ。
対応エリア:福岡・天神・渡辺通/日曜診療・完全予約制/保険の一般治療・精密自費治療・セラミック・ワイヤー矯正・短期集中治療
渡辺通さとう歯科・矯正歯科
〒810-0004 福岡市中央区渡辺通4-9-18 福酒ビル3F
電話:092-791-4439