マウスピース矯正で不安を感じた方へ|福岡天神で確実に治すワイヤー矯正・裏側矯正
2025.05.31
裏側のワイヤー矯正


確実性と仕上がりにこだわる矯正治療を提供
マウスピース矯正で不安を感じた方へ>>確実に治すワイヤー矯正・裏側矯正
透明で目立ちにくいマウスピース矯正が注目されていますが、「思ったように歯が動かなかった」「途中でやめてしまった」というご相談もあります。渡辺通さとう歯科・矯正歯科では、確実に歯を動かせるワイヤー矯正を中心に、仕上がりの精度と長期安定にこだわった治療をご提供しています。
ワイヤー矯正が選ばれる理由
1. 確実に歯を動かせる
ワイヤーとブラケットにより、歯にかける力の方向・量を精密にコントロールできます。八重歯や乱杭歯、噛み合わせの改善など移動量が大きい症例にも対応可能です。
2. 精密な仕上がりと長期安定
見た目の整列だけでなく、上下の噛み合わせ、発音や清掃性まで考慮。将来の歯の寿命を守る総合的な咬合設計が可能です。
3. 目立ちにくい裏側矯正
歯の裏側に装置を装着するリンガル法なら、人前でも気付かれにくく治療が進みます。
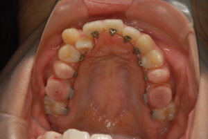
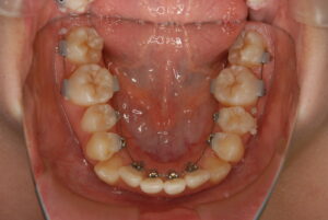
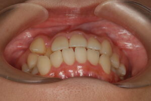
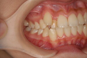
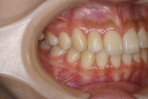
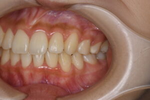
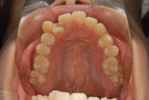
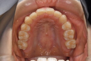
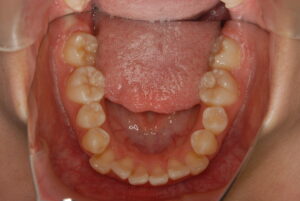
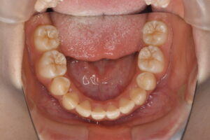
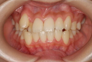
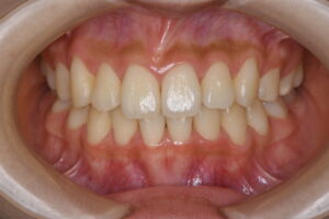
実際の症例紹介(20代女性/裏側ワイヤー矯正)
治療前
治療後
治療前

治療後

治療前

治療後

治療前


治療前

治療後

治療前

治療後

治療前

治療後

治療前

治療後

(効果には個人差があります)
・主訴:八重歯と前歯の突出
・治療法:裏側からのワイヤー矯正(リンガル)
・治療期間:約1年半〜2年(目安)
・予想される副作用・リスク:装置装着後の違和感・疼痛、発音のしづらさ、一時的な咀嚼効率低下、ブラッシング不良によるむし歯・歯周病リスク など
※写真は代表的な症例です。口腔内の状態により治療法や期間は異なります。詳細は初診相談でご説明します。
マウスピース矯正とワイヤー矯正の比較
マウスピース矯正の特徴
・目立ちにくい/取り外し可能
・軽度の叢生や傾きの改善に向く
・装着時間を守れないと計画通り進みにくい
ワイヤー矯正の特徴
・コントロール性が高く確実
・噛み合わせまで精密に整えやすい
・裏側装置で見た目の不安を軽減できる
よくある質問(FAQ)
マウスピース矯正とワイヤー矯正、どちらが確実ですか?
症例によりますが、移動量が大きいケースや噛み合わせの改善が必要な場合、コントロール性に優れるワイヤー矯正が適していることが多いです。初診相談で状態を拝見し、最適な方法をご提案します。
矯正装置は目立ちませんか?
歯の裏側につける装置のため、正面からはほとんど見えません。お仕事柄、見て目に配慮したい方にも選ばれています。
治療中の痛みはありますか?
装置装着後に違和感を感じる程度です。痛みを感じる矯正治療は、装置による矯正力が強すぎるので痛みが無くなるように調整が必要です。
まずはカウンセリングから
「マウスピース矯正が合っているか不安」「確実に仕上げたい」。
そんな方は当院へご相談ください。

福岡天神|渡辺通さとう歯科・矯正歯科 院長:佐藤桂一
初診検査・カウンセリングのご予約
毎月の日曜枠は限定数です。ご希望の方はお早めにお申し込みください。
※完全予約制/詳細は受付へ。
アクセス
📍 渡辺通さとう歯科・矯正歯科
住所:福岡市中央区渡辺通4丁目9-18福酒ビル3階
🚇 地下鉄七隈線「天神南駅」徒歩1分
🚉 西鉄大牟田線「福岡(天神)駅」徒歩1分
電話:092-791-4439
対応エリア:福岡・天神・渡辺通/日曜診療・完全予約制/保険の一般治療・精密自費治療・セラミック・ワイヤー矯正・短期集中治療


