
矯正歯科を受診する前に
知っておきたいことと、
What to know and how to choose
1 矯正歯科とは?
矯正歯科とは歯科診療科の一つで、ワイヤーなどによる矯正力により歯を正常な位置に移動させ、歯並びやかみ合わせ(不正咬合・顎変形症)を改善する治療を行います。
歯の根の周りには歯根膜という組織があります。歯根膜は押されると骨が溶けて無くなり、引っ張ると新たな骨が作られます。この生体反応を利用して骨の中に埋まっている歯を動かすことができるのです。
2 矯正歯科を受診した方が良いケースは?
2−1:歯並びが悪く、見た目が気になる方
歯並びに自信を持てない方は無意識に歯を見せないようにしているため、どうしても表情が硬くなり消極的になりがちではないでしょうか。自信を持って歯を見せて笑顔になることができれば、きっと色々なことに積極的になれると思います。
2−2:かみ合わせが悪く、食事や発音がしづらい方
食事や発音がしづらい方は、明らかに機能的な問題があります。そのまま放置していると、部分的に歯周病が急速に進行する(咬合性外傷)可能性などが考えられます。
2−3:歯並びやかみ合わせが悪く、顎や関節に痛みのある方(顎関節症)
顎関節症の方は、重症化すると口の開閉ができなくなる場合も有ります。
3 歯並び(不正咬合)の種類は?
3−1:出っ歯(上顎前突)

3−2:すきっ歯

3−3:叢生

3−4:受け口(反対咬合)

3−5:開咬

3−6:八重歯

3−7:過蓋咬合

4 矯正歯科医院の種類は?
4−1:総合歯科医院
矯正治療からインプラント治療、歯周病治療、審美歯科治療、かみ合わせ治療、虫歯治療、ホワイトニング、クリーニングなど様々な治療を提供します。一箇所で全ての治療を同時に受けることができるのでとても効率的です。矯正治療が終わった後もかかりつけ歯科医院として通い続けることができるので安心です。
4−2:矯正歯科専門医院
矯正認定医が矯正治療のみを提供しているので、矯正の症例数が多いです。虫歯や抜歯、歯周病治療などは他の歯科医院に通院する必要があります。
4−3:一般歯科医院
月に1〜2回程度、矯正担当の歯科医師が出張治療を行います。家の近所で矯正治療を受けられることはメリットですが、予約日時などに制限があります。
5 矯正治療を行う歯科医師の種類は?
5−1:矯正歯科の大学院を卒業して博士号を取得している歯科医師
矯正治療に関する研究を行い、論文等を執筆しています。
5−2:矯正歯科学会などが学会の基準で認定している歯科医師(認定医)
所属学会の治療基準に従った治療を行います。学会によって治療方針は様々です。
5−3:講習会などで研修を重ねている歯科医師
認定医などではありませんが、いろいろな治療方法を多彩に取り入れているメリットもあります。
6 矯正の方法(矯正装置)の種類は?
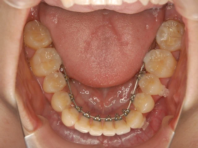
6−1:上下裏側の見えない矯正(舌側矯正)

歯の裏側に装置を付けるので、人目が気になりません。口元の仕上がり(唇の形など)を確認しながら治療を進めることができます。しかし、技術的に難しいため計画的に行わないと治療期間が長くなってしまいます。渡辺通さとう歯科・矯正歯科では、裏側(舌側)でも表側でも治療期間に差はありません。
6−2:上が裏側、下が表側の矯正

上下裏側(舌側矯正)より舌が接触しにくい、費用が上下裏側(舌側矯正)より安いなどのメリットがあります。上下の歯のかみ合わせを仕上げる際には注意が必要です。
6−3:上下表側の矯正(表側矯正)

一般的な矯正装置です。以前よりは白くて目立たない矯正装置も増えています。矯正装置を外してしまうまで、口元(唇の形など)の仕上がりが確認できません。
6−4:マウスピース矯正

歯に針金をつけずに行えるため、とても手軽に感じます。矯正治療経験者の後戻り治療など軽い症例に適しています。しかし、患者様自身がきちんと決められた時間マウスピースを使用しなければ治りません。
7 矯正治療について
7−1:矯正治療の痛みは?
矯正治療はとても痛く食事もまともにできないと一般的には思われているようですが、それは昔のお話です。矯正装置に慣れるまでは、舌や歯ぐきや唇の裏側などに擦れる痛みが多少ありますが、装置をワックスなどでカバーして痛みを抑える方法もあります。
最新のカスタムメイド(オーダーメイド)の矯正装置であれば歯を動かす痛みはほとんどありません。針金による歯の痛みがある場合は神経が死んでしまうこともありますので注意が必要です。インプラント矯正も痛みはありません。痛みがある場合は歯の根に接触している危険性があります。
7−2:矯正治療の期間は?
患者様のお口の中の状況、選択する矯正装置などによって大きく異なります。短期間矯正であれば6ヶ月から1年程度です。通常の矯正治療であれば長くかかっても2年半程度です。マウスピース矯正は比較的治療期間が長いようです。
7−3:矯正治療の通いやすさ(歯科医院の場所)は?
矯正治療は長い期間通い続ける必要がありますので、なるべく通いやすい場所が良いと思います。福岡であれば福岡(天神)駅や博多駅周辺といったアクセスの良い場所がお勧めです。矯正装置が食事の時に外れてしまうトラブルなどもありますので、矯正担当歯科医師が毎日常駐している歯科医院が安心だと思います。
7−4:大人の矯正は?
一般的に矯正治療は子供の頃にするものだと思われています。しかし、現在では大人(成人)になってから矯正治療を受ける方が急増しています。その理由として、日本人の歯(口元)の美しさへの関心が高まってきたことが考えられます。テレビで活躍する芸能人やアスリートの方々の中にも、矯正治療を受けてより魅力的になられた方が多いようです。矯正治療の効果としては見た目だけでなく、機能の改善も大きいでしょう。食事などの際に歯への負担が減りますし、歯磨きがしやすくなることから歯周病のリスクも減少するため、歯が長持ちします。ただし、大人(成人)の矯正治療では、虫歯や銀歯や差し歯、歯周病、抜けてしまった歯など様々な治療条件が複雑に絡んでいるため、計画的な総合歯科治療が必要となります。
7−5:子供の矯正は?
子供の矯正治療では、まだ成長発育の途中であり乳歯も残っています。そのため骨格的な問題(顎が小さいなど)を治せる可能性があります。ただし、計画的な治療を行わないと治療期間が長くなるばかりで、満足な結果を得ることができない場合が有ります。子供への負担をなるべく少なくする治療計画が望ましいです。
7−6:歯周病の場合の矯正は?
専門的な歯周病の検査や治療を行った後に矯正治療を行います。成人の9割以上の方が歯周病に罹患しています。矯正治療中は歯磨きがしづらいために歯ぐきが腫れやすくなり、歯周病が急速に進行する可能性がありますので、来院の度にクリーニングを受けることが望ましいです。矯正治療中に歯ぐきから血が出る方は注意が必要です。
7−7:銀歯や差し歯が多い場合の矯正は?
矯正治療前に銀歯や差し歯を一度外して中の虫歯を予防的に治療し、仮歯を装着します。矯正治療中に虫歯が進行してしまうと手遅れになるかもしれません。金属のバンドなどは虫歯や歯周病のリスクが高くなるのであまりお勧めはできません。セラミックスなどの白い歯は矯正治療後に新しいかみ合わせに合わせて作製することが望ましいです。
8 矯正の治療費(値段)について
8−1:患者様によって細かく値段が異なる。
部分矯正、抜歯矯正、非抜歯矯正など治療計画の内容によって費用は異なります。治療前に詳細なお見積もりを提示して、患者様の希望と予算に合わせた治療方法を選択します。
8−2:定額制
治療内容、期間に関わらず同じ値段です。
8−3:矯正装置の調整料を毎回追加で支払う。
治療期間が伸びれば伸びるほど、追加で費用が高くなります。
9 矯正治療の注意点
9−1:矯正治療期間が当初の予定よりも大幅に伸びてしまった。
当院では、治療前に設計模型(セットアップモデル)を作製します。歯の移動量などを正確に把握することで、治療期間を予測できるため安心です。
9−2:歯を抜かずに矯正したら、口元が前に出すぎてしまった。
歯を抜かずに矯正(非抜歯矯正)と聞くと、とても魅力的ですが、治療後に歯が前に出過ぎてしまう傾向があります。治療前に何ミリ前に出てしまうのかを設計模型(セットアップモデル)で確認する必要があります。当院では、インプラント矯正や裏側からの見えない矯正(舌側矯正)など、なるべく歯が前に出ない矯正装置をお勧めしております。
9−3:歯を抜いて矯正したら、口元が後退し過ぎてしまった。
歯を抜く矯正(抜歯矯正)で注意しなければいけないのは、歯を後退させ過ぎないことです。後退させ過ぎてしまうと、将来唇に梅干しのようなシワが入りやすくなり、年齢よりも老けて見える可能性があります。表側の矯正では装置を外すまで口元の仕上がりが確認できません。当院では、裏側からの見えない矯正(舌側矯正)装置を使用して、矯正治療中も患者様ご自身に口元の仕上がりを確認していただきながら治療を進めることができるので安心です。
9−4:矯正治療期間中に虫歯が進行してしまい、治療を中断しなければいけない。
銀歯などが入っている方は、矯正治療前に全ての銀歯を外して、銀歯の裏側に虫歯が無いか確認することをお勧めします。銀歯が入っていると虫歯の確認がレントゲンでしづらいため、発見が遅れる可能性が有ります。また、矯正専門歯科医院で治療を受ける場合は、虫歯が発見される度に他の歯科医院へ虫歯の治療に通わなくてはいけません。当院では矯正治療と虫歯の治療を同時に行うこともできるため安心です。
9−5:矯正治療期間中に歯周病が急速に進行してしまい、治療を中断しなければいけない。
大人(成人)の9割以上の方が歯周病に罹患しています。歯周病の方の歯をいきなり矯正治療で動かすと急性炎症を起こして歯茎が大きく腫れてしまう可能性があります。当院では、まず専門的な歯周病の検査と治療を行ってから、矯正治療を行います。矯正治療中も毎月調整の度にクリーニングをしますので、歯ぐきの健康を維持することができ安心です。
9−6:矯正治療後の前歯の見た目が、想像していたものと違う。
歯並びやかみ合わせが悪い方は、歯が不規則にすり減って変形している場合が多いです。そのため、ただまっすぐ歯を並べるだけでは美しく左右対称には仕上がりません。当院では矯正治療前に設計模型(セットアップモデル)にて、患者様に治療後の仕上がりを確認していただいてから治療を行いますので安心です。
9−7:歯並びはよくなったが、かみ合わせが悪く前歯や奥歯でうまく食べ物をかみ切れない。
矯正治療後に上下の前歯がしっかりかみ合ってない方は、奥歯への負担が多くなるため注意が必要です。また矯正治療前に入れた銀歯はかみ合わせが違うため、矯正治療後に新しく作り変えることをお勧めします。当院では専門的なかみ合わせの治療も行っておりますので安心です。
9−8:矯正治療後に歯並びが後戻りしてしまった。
矯正治療によって、歯の根まできちんと平行に並んでいなかったり、かみ合わせが安定していないと歯並びは後戻りしやすくなります。当院では歯の根までしっかりと並べる矯正治療を行っております。総合歯科医院であるため患者様に末長く通っていただき、メンテナンスにより後戻りを防止できるため安心です。
9−9:矯正治療後、数年経ってから顎の調子が悪くなる。
矯正治療直後は、まだ歯がグラグラと揺れています。歯の根がしっかり骨とくっつき、揺れなくなるまでには数年かかります。かみ合わせが悪い場合、顎の不調(顎関節症)はその後に発症しやすくなります。すり減ってしまった歯では、かみ合わせを安定させることが難しいため、矯正治療後に歯の形態修正を必要とする場合が多いです。当院では顎関節症治療を含めた専門的なかみ合わせ治療が行えるため安心です。
10 渡辺通さとう歯科・矯正歯科の矯正歯科について
当院は、福岡(天神駅)や博多駅からとても近いためアクセスが良く、長く通いやすい場所にあります。総合歯科医院であるため、裏側の見えない(舌側)矯正治療をはじめインプラント治療、歯周病治療、審美歯科治療、かみ合わせ治療、セラミックス治療、歯ぐきの移植、歯のホワイトニング、歯のクリーニングなど様々な治療を行っております。一箇所で全ての治療を同時に受けること(ワンストップ)ができるため、治療期間を大幅に短縮することが可能です。治療前に精密検査を行い、治療用の設計模型(セットアップモデル)を作製し、患者様に分かりやすい治療計画をご提案します。治療費用についても、患者様のご予算や希望に合わせた治療方法・材質・支払方法を、患者様と一緒に考えさせていただきます。患者様一人一人にとって最も理想的な治療方法がきっと見つかると思います。矯正治療が終わった後もかかりつけ歯科医院として通い続け、メンテナンスを受けることができるため、将来的にも安心です。
最短6ヶ月で矯正が完了。
インプラント治療や歯周外科治療などを専門的に行う当院だから可能な、
「短期間矯正」。
海外ではコルチコトミーという治療方法として大変注目されていますが、
最先端の技術であり歯科医師に高い技術力が求められるため、
日本国内でこの治療を実施できる医院はまだほとんどありません。
短期間矯正のメリット
- ◆矯正器具をつけている期間が短いから、ラク!
- ◆歯をムダに動かさないので、歯周病リスクが軽減される!
- ◆歯の裏側につける矯正器具を使えば、目立たずさらに短期間で矯正可能!
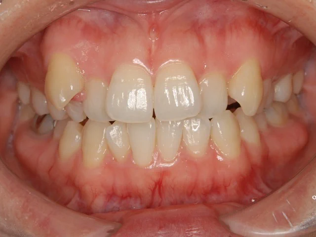
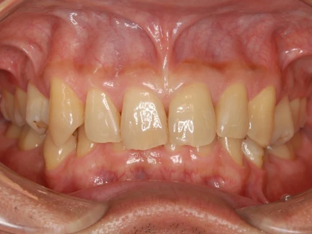
当院で行った矯正の症例

これらの全ての症例は、裏側からの見えない
矯正装置で短期間にて治療を行っております。
本物の美しさにこだわる
日本人は欧米に比べて歯並びに対する美意識が低いと言われていますが、日本人であっても歯並びが良く輝く白い歯の笑顔には心惹かれます。
矯正治療をお考えの方は、歯並びが気になっていたり、口元の美しさを得たいという方がほとんどでしょう。
当院では、この「審美」の考え方を大切にしており、歯並びはもちろん、歯の色や詰め物の素材など、自然な美しさにこだわった矯正をご提供しています。

審美的な矯正治療とは?
審美的な矯正治療とは、見た目が自然で美しく機能的な歯並びに治すことです。
言い方を変えれば、すり減ってしまった歯や痩せてしまった歯ぐきを元の健康な状態に戻す矯正治療だとも言えるでしょう。
それでは、具体的な例を見ながらご説明いたします。
下の写真はある患者様の前歯の歯並びを矯正治療するために設計図を作製したものです。

左側が当院で行う審美的な矯正治療での歯並びです。
右側が矯正専門医などで治療された場合によく見られる歯並びです。
どちらが美しいでしょうか?

左側の歯並びは、歯の先端がガタガタで不揃いに見えるかもしれません。
しかし、歯茎のラインはとても理想的な配置になっています。
右側の歯並びは、歯の先端は綺麗にまっすぐ揃っていますが、歯茎のラインはガタガタで左右非対称です。

左側の歯並びは歯の形態を黄金比に合わせて理想的な形に修復しています。
グレーの部分が修正された箇所です。
歯並びが悪かったため極端にすり減ってしまった歯を、元あった美しい歯の形に戻しています。
歯の先端も下唇のラインに合わせた理想的なアーチを描いています。
この形態でなければ機能的なかみ合わせを構築することはできません。

どちらが美しいでしょうか?
当院では左側の歯並びを推奨しております。
矯正治療だけでは、本当の美しさを表現できないことがご理解いただけたでしょうか。
矯正治療を受けたのに、
『歯並びは綺麗だけど何か変』『見た目が不自然』
と思われる方は一度ご相談ください。
根本的な矯正を行う

このような、見た目の美しさはもちろんですが、歯茎の中の見えない部分の歯並びが、ご自身の歯を一生使い続けられるかどうかに大きく関わってきます。
見えている部分だけの矯正を行えば、一見キレイに見えますが、歯根部分がきちんと並んでいなければ、歯周病の原因となり、将来歯を失ってインプラントや入れ歯が必要になる可能性が高くなります。
表面に見えていない部分まで綿密な治療計画を立てて、高度な知識と技術で治療をすることにより、歯茎の中から美しく生えそろった歯並びに導くことができるのです。
安心安全の理由
当院が安心で安全な成人矯正をご提供できるのは、将来的なリスクまで考えた本質的な治療を行っているからです。
-
◆歯周病の専門的な治療とケアができる
→まず歯周病の検査と治療をきちんと行い、それから矯正治療を開始します。(歯周病を考慮しないで矯正を行うと、歯周病が悪化してしまう可能性が非常に高くなってしまいます)
-
◆矯正時に詰め替えたセラミックスなどを長期的にケアできる
→生涯美しくあり続ける歯のために、治療後のアフターサポートを万全の体制でご提供しています。
-
◆咬み合わせまで追求した矯正ができる
→成人では古い銀歯が入っていたり、歯が擦り減ってしまっているケースがほとんどです。そのような歯ではきちんと咬むことはできません。
ただ奥歯が当たっているだけでは不十分であり、咬み合わせが悪ければ咬合性外傷を招き、歯周病を重症化させてしまいます。
機能的で安全な咬み合わせを構築するためには、矯正治療終了時に再度咬合診断を行い、セラミックスなどで歯の形態を修復する必要性があります。
そうする事で、より安全に歯を長持ちさせる事ができると私たちは考えています。
安心して心地よく
通い続けられる医院を目指して

矯正治療は、1年〜2年の期間をかけて行う治療ですので、安心して心地よく通い続けられることが、非常に重要です。
当院では、患者様に気持よく来院を続けていただけるような医院づくりを行っています。

精密な検査によって、
ゴールが見える設計図を

当院では、まず患者様のお悩みなどをお聞かせいただき、Dr.が今後の治療方針を決めていくカンセリングを行います。 次に、患者様のお口の中の検査を行いますが、ここでは、約1時間をかけて
- ◆レントゲン、CT
- ◆プラーク・ポケットチェック
- ◆歯型(模型)作製
などの検査を行います。
CTや模型を使って、患者様の口内を正確に把握することで、患者様にとって最適な矯正プランをご提案させていただくことができます。
なぜ短期間で矯正が終わるのか?
矯正をされる方の大きな悩みとして「治療期間が長期に渡り、その間、矯正器具をつけ続けることが苦痛」であるということがあります。
この悩みを解決するために、当院ではこの「短期間矯正」を取り入れました。
この矯正では、治療をスタートする際に、歯茎の中の骨に切れ込みを入れます。
そのことにより、骨の移動スピードが速くなり、最短で6ヶ月という短期間での矯正が可能になります。(約1年の治療期間短縮が可能)

手術と聞くと大変そうですが⋯。

処置前には必ずCTによる精密検査を行い、手術の計画を立てます。
手術と聞くと痛そうに思われるかもしれませんが、親知らずを抜くよりも痛みは少なく、また患者様自身の血液から作る多血小板因子を填入することで、骨の回復および傷口の治りを促進させることができます。
手術の時間は約1時間です。たった1時間の手術によって矯正の期間が短縮されるため、矯正期間を少しでも短くされたい方には非常にお勧めいたします。
※若干の腫れが出るケースもありますが、飲み薬で十分緩和されます。
さらにインプラント矯正を併用すれば、さらなる治療のスピードアップが期待できます。
少しでも、矯正の治療期間を短くされたい方はぜひ一度ご相談ください。
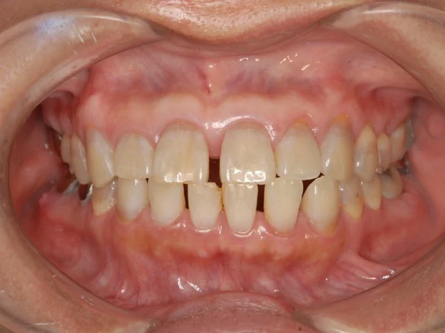
症例紹介

症例:歯根の矯正

本質的な矯正は、歯茎の上に見えている部分の歯並びだけでなく、歯茎の下の歯根がキレイに並んでこそ実現します。
このケースでは、並行に並んでいなかった歯根からしっかりと矯正を行い、1年弱の矯正期間で、歯根まで並行にならぶキレイな歯並びとなりました。
歯根がきれいに並んでいることで、歯周病のリスクを抑え、長持ちする歯へと改善されました。

症例:エステティックライン

エステティックラインとは、横から見た時に鼻と顎を結んだ口元のラインのことです。
「美しい口元の基準」とも呼ばれ、矯正治療の基準になります。このケースでは、出歯により気になるエステティックラインを、約1年半ほどの矯正期間で改善し、美しいラインを実現しました。見た目の美しさはもちろん、矯正によって口が閉じやすくなったことで、鼻呼吸がしやすくなり、歯周病の予防にもつながります。